Kenali 6 jenis jerawat beserta penanganannya, biar nggak bikin infeksi

foto: pexels.com
Brilio.net - Jerawat merupakan salah satu permasalahan wajah yang kerap dialami oleh banyak orang. Sering dianggap mengganggu penampilan, jerawat memang cukup menyita perhatian jika berukuran besar. Selain mengganggu penampilan, jerawat saat sedang meradang dan kemerahan juga memberikan rasa ngilu dan terasa sakit.
Rasa ngilu dan sakit jerawat bisa bikin nggak mood. Terlebih lagi buat beberapa orang yang memang memiliki jenis kulit yang mudah berjerawat, sehingga jerawat yang muncul merata pada seluruh wajah. Tentu hal ini mengganggu aktivitas dan produktivitas. Bahkan saat sedang meradang, menggunakan makeup pun jadi segan karena takut memperparah jerawat.
Penyebab jerawat bisa beragam, mulai dari faktor genetika, sering mengkonsumsi junkfood, perubahan hormon, hingga stres. Setiap orang memiliki jenis jerawat yang berbeda, maka dari itu penanganan dari setiap jenis jerawat juga berbeda. Penting buat kamu yang sering berjerawat buat mengetahui tipe-tipe jerawat agar tidak salah penanganan dan menghindari jerawat dari infeksi. Dilansir dari medicalnewstoday.com, ada 6 jenis jerawat yang perlu kamu ketahui.
Buat kamu yang nggak mau infeksi lagi dan salah penanganan saat sedang berjerawat, briliobeauty.net telah merangkum 6 jenis jerawat beserta penanganannya, Selasa (16/4).
1. Whiteheads acne.

foto: grazia.co.in
Sering juga disebut dengan komedo putih, bentuknya merupakan benjolan kecil atau bintik kecil yang memiliki tipe warna seperti daging. Tipe jerawat ini merupakan jerawat yang ringan. Jika bagi orang yang memiliki kulit terang biasanya jerawat ini memiliki titik putih ditengah dengan dikelilingi oleh lingkaran merah. Sedangkan bagi orang yang memiliki kulit cenderung gelap warna dari jerawat ini area sekitarnya lebih berwarna keunguan.
Dilansir dari my.clevelandclinic.org jerawat ini biasanya dapat disebabkan karena meningkatnya sebum, pembentukan keratin yang tidak normal, dan meningkatnya bakteri pada kulit yang menyebabkan kulit menjadi berjerawat. Jika ingin memberikan penanganan untuk menghilangkan jerawat ini kamu bisa menggunakan skincare dengan kandungan salysilic acid, azelaic acid, benzoyl proxide, dan retinoids dengan vitamin A.
2. Blackheads acne.

foto: healthline.com
Seperti namanya, blackheads berarti komedo hitam. Jerawat ini dapat timbul karena tertutupnya folikel rambut. Sesuai dengan namanya, jerawat ini memiliki warna yang gelap atau cenderung ke hitam. Tipe jerawat ini ternyata tidak hanya muncul di wajah saja tapi juga dapat muncul di lengan, punggung, pundak, dada, hingga leher.
Biasanya jika kamu menemukan blackheads di wajah bentuknya seperti bintik kecil yang sering terdapat pada hidung dan pipi dibagian sekitar hidung. Kulit di atas benjolan yang terbuka yang menyebabkan warnanya menjadi terlihat hitam dan terbentuk komedo.
Untuk penanganan blackheads, dilansir dari healthline.com bisa diatasi dengan chemical pheals yang dapat mengangkat sel kulit mati yang menumpuk dan menyebabkan komedo hitam. Selain itu juga dapat dihilangkan dengan terapi laser dan cahaya yang dapat mengurangi produksi minyak dan membunuh bakteri.
Magang/Himmatul Ahsana
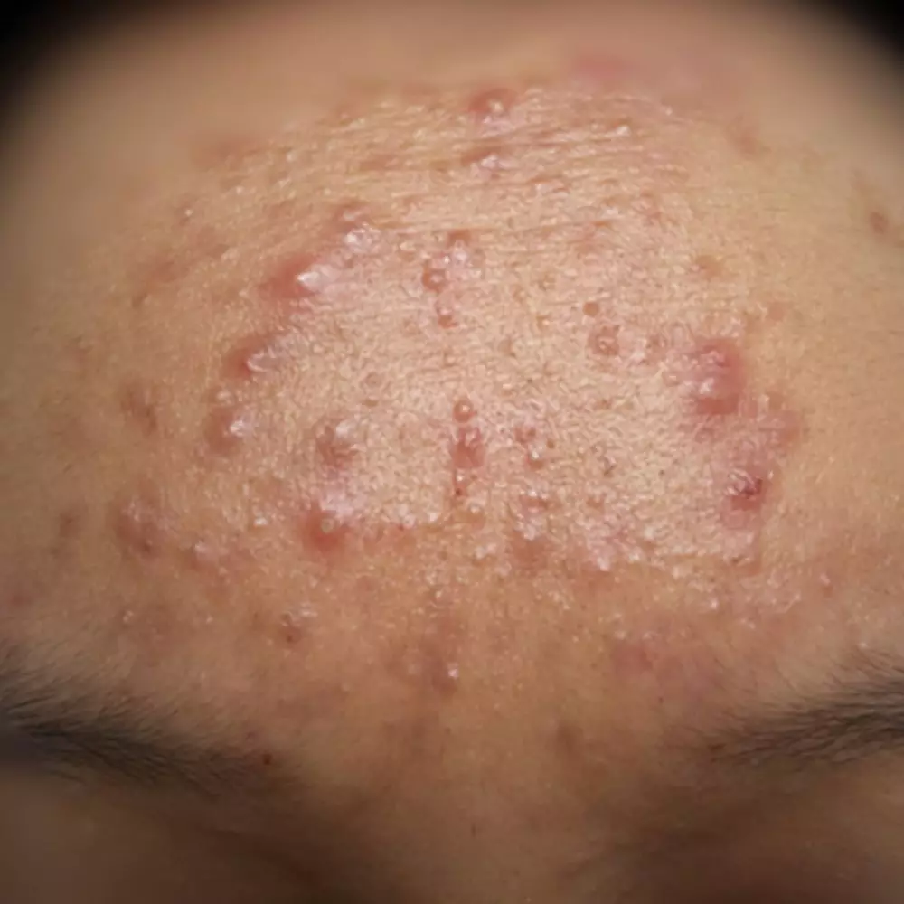
3. Papules acne.

foto: dermcollective.com
Diameter dari jerawat ini kurang dari 1 cm. Bentuknya lebih padat, lunak, namun tetap menonjol. Kulit yang ada di sekitar jerawat papula juga meradang dan kemerahan. Salah satu yang membedakan dari jerawat komedo putih, tidak ada titik putih di tengah jerawat. Berbeda juga dengan komedo hitam, pori-pori jerawat papula ini tidak melebar.
Jerawat ini sering dialami remaja hingga orang dewasa mulai dari 20 hingga 30 tahun. Papula merupakan salah satu jerawat yang meradang sekalipun tidak memiliki nanah yang berwarna putih seperti whitehead di ujungnya.
Dilansir dari my.clevelandclinic.org, skincare yang dapat mengobati papula ini antara lain asam azelaic, benzoil peroksida, retinoid, hingga salysilic acid. Jerawat ini meskipun sangat menggemaskan untuk dipencet, sebaiknya jangan memencet jerawat papula karena ditakutkan akan mengiritasi kulit, melukai kulit, hingga bahkan membuka kulit dan menjadikan kulit terinveksi dengan bakteri.
4. Pustules acne.

foto: vedix.com
Lebih dikenal dengan nama pustula, jerawat ini memiliki bentuk seperti benjolan dengan ukuran yang besar dan lembut dengan bagian tengah yang melingkar disertai dengan nanah berwarna putih atau kekuningan. Sama seperti jerawat lain, jenis jerawat pustula ini juga area sekitar jerawat yang kemerahan pada kulit terang dan coklat tua atau hitam pada kulit yang gelap.
Dibandingkan dengan whiteheads, jerawat dengan nanah ini lebih meradang dan lebih kemerahan serta dari ukuran jauh lebih besar. Dilansir dari verywealth.com, jerawat ini terjadi karena tumpukan sebum dan sisa-sisa sel.
Jerawat pustula memang bisa hilang dengan sendirinya jika dibiarkan. Namun dapat diabantu untuk cepat hilang dengan krim atau gel dengan bahan salisilat asam sebagai exfoliant, benzoil peroksida yang membunuh bakteri, retinoid, adapalane, hingga antibiotik topikal.
5. Nodules acne.

foto: bebeautiful.in
Jerawat yang juga disebut nodul merupakan jerawat yang bentuknya benjolan yang keras dan meradang, letaknya terletak jauh di dalam kulit. Jerawat nodul tidak memiliki nanah namun teksturnya keras dan sangat menyakitkan. Dengan kondisi itu jerawat ini maka mengkategorikan jerawat ini merupakan jerawat yang tergolong parah dan serius.
Dilansir dari my.clevelandclinic.org, jerawat ini timbul karena keringat yang berlebihan, faktor genetika, perubahan hormon, pori-pori tersumbat, obat tertentu, produk skincare yang tidak cocok dengan jenis kulit, hingga stres dan kecemasan yang berlebihan.
Karena rasanya yang menyakitkan di kulit, jerawat nodul bisa diobati dengan obat oral yang dapat memblokir serta memperlambat produksi hormon yang menyebabkan jerawat, obat-obatan dengan bahan benzoil peroksida, asam salisilat, dan retinoid. Selain itu jerawat ini dapat diatasi juga dengan suntikan kortisol yang bisa kamu konsultasikan dengan dokter kulit jika memang kondisinya sudah parah dan sangat meradang.
6. Cysts acne.

foto: drberg.com
Merupakan jenis jerawat yang paling parah, jerawat ini perlu perlindungan dan perawatan yang lebih ekstra. Bahkan jika sudah pada tahap tertentu jerawat ini memerlukan penanganan bedah yang lebih profesional. Karena ini merupakan jerawat yang parah maka harus ditangani dengan benar karena jika tidak maka dapat menyebabkan jaringan parut yang terlihat.
Dilansir dari healthline.com, jerawat ini terjadi karena kombinasi bakteri, minyak, dan sel kulit kering yang ada di pori-pori. Berbeda dengan jerawat tipe lain yang timbul di berbagai jenis kulit, jerawat kista ini sering timbul pada kulit yang lebih berminyak.
Ciri-ciri dari jerawat ini memiliki benjolan yang besar kemerahan, berisi nanah, dan menyakitkan saat disentuh. Karena parahnya jerawat ini, obat jerawat yang beredar tidak dapat cukup mengatasi permasalahan kerawat yang satu ini. Penanganan yang paling baik adalah mengonsultasikan masalah jerawat ini langsung dengan dokter.
![10 Skincare lokal mengatasi kerutan, bantu mengecangkan wajah harga di bawah Rp 150 ribu]()
Skincare 10 Skincare lokal mengatasi kerutan, bantu mengecangkan wajah harga di bawah Rp 150 ribu
Nur Luthfiana Hardian![10 Sampo untuk menumbuhkan rambut bayi dengan cepat, aman di kulit si kecil harga di bawah Rp 100 ribu]()
Sampo 10 Sampo untuk menumbuhkan rambut bayi dengan cepat, aman di kulit si kecil harga di bawah Rp 100 ribu
Nur Luthfiana Hardian![10 Rekomendasi cream wajah gentle anak 8 tahun, jaga kulit tetap lembap dan sehat di bawah Rp150 ribu]()
Skincare Anak 10 Rekomendasi cream wajah gentle anak 8 tahun, jaga kulit tetap lembap dan sehat di bawah Rp150 ribu
Editorial![9 Mineral sunscreen harga di bawah Rp 150 ribu, kulit wajah terlindungi dari sinar matahari]()
Sunscreen 9 Mineral sunscreen harga di bawah Rp 150 ribu, kulit wajah terlindungi dari sinar matahari
Nur Luthfiana Hardian![7 Setting spray untuk mencegah makeup crack sekaligus samarkan kerutan harga di bawah Rp100 ribu]()
Setting Spray 7 Setting spray untuk mencegah makeup crack sekaligus samarkan kerutan harga di bawah Rp100 ribu
Editorial![7 Concealer harga di bawah Rp100 ribu, ampuh tutupi jerawat dan bekasnya tanpa bikin makeup cakey]()
Concealer 7 Concealer harga di bawah Rp100 ribu, ampuh tutupi jerawat dan bekasnya tanpa bikin makeup cakey
Editorial









