Skincare
![Kenali 7 tanda skin barrier rusak dan cara ampuh memperbaikinya dalam seminggu]()
Skin Barrier Kenali 7 tanda skin barrier rusak dan cara ampuh memperbaikinya dalam seminggu
30/05/2025 12:40 WIB![Kulit kusam dan bruntusan? Ini skincare routine simple yang bisa bikin cerah dalam 7 hari]()
Kulit Kusam Kulit kusam dan bruntusan? Ini skincare routine simple yang bisa bikin cerah dalam 7 hari
30/05/2025 10:40 WIB![Ternyata jenis umbi-umbian ini ampuh cerahkan wajah dan atasi hiperpigmentasi, begini cara pakainya]()
Kecantikan Ternyata jenis umbi-umbian ini ampuh cerahkan wajah dan atasi hiperpigmentasi, begini cara pakainya
30/05/2025 09:40 WIB![Trik samarkan kulit kendur dan keriput pakai bahan alami, bikin wajah auto cerah dan awet muda]()
Tips Kecantikan Trik samarkan kulit kendur dan keriput pakai bahan alami, bikin wajah auto cerah dan awet muda
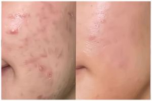
29/05/2025 20:00 WIB![Aman untuk ibu hamil, ini cara alami hilangkan jerawat dalam 3 hari cuma pakai 1 kulit buah]()
Jerawat Aman untuk ibu hamil, ini cara alami hilangkan jerawat dalam 3 hari cuma pakai 1 kulit buah
29/05/2025 13:00 WIB








